【中心科研】Research | 中山三院脊髓损伤修复团队近期研究成果提出神经元保护新策略
脊髓损伤(SCI)是一种严重的中枢神经系统创伤性疾病,常导致患者运动、感觉功能严重障碍,目前仍缺乏高效的治疗手段。近年来,铁死亡作为一种由铁依赖的脂质过氧化驱动的细胞死亡方式,被证实是脊髓损伤后早期神经元死亡的关键机制。然而,神经元如何调控这一过程,其内在保护机制是如何,一直未被阐明。
近日,中山大学附属第三医院戎利民教授团队在脊髓损伤修复领域取得重要进展,首次系统揭示了 LXRα/SCD1信号轴通过调节内质网-线粒体接触(ERMCS)和单不饱和脂肪酸(MUFA)合成,有效抑制神经元铁死亡、促进脊髓损伤后功能恢复的新机制。该成果发表于中科院一区杂志 Research,该研究不仅阐明了神经元在损伤应激下的自我保护通路,也为开发针对脊髓损伤的神经保护药物提供了新靶点。

原文链接:https://spj.science.org/doi/10.34133/research.1077
关键发现
研究团队发现,在脊髓损伤后,神经元中一种关键的脂质代谢酶,SCD1表达显著下降。SCD1是合成单不饱和脂肪酸(MUFA)的限速酶,而MUFA具有抗氧化特性,能抵抗脂质过氧化。
进一步研究发现,SCD1的下游作用是调控内质网与线粒体之间的接触(ERMCS)。在损伤或氧化应激条件下,ERMCS异常增多,成为脂质过氧化的“热点区域”,加速了铁死亡的发生。而过表达SCD1或激活其上游转录因子LXRα,则能有效减少异常的ERMCS形成,提升细胞MUFA水平,从而增强神经元的抗氧化能力,抑制铁死亡。

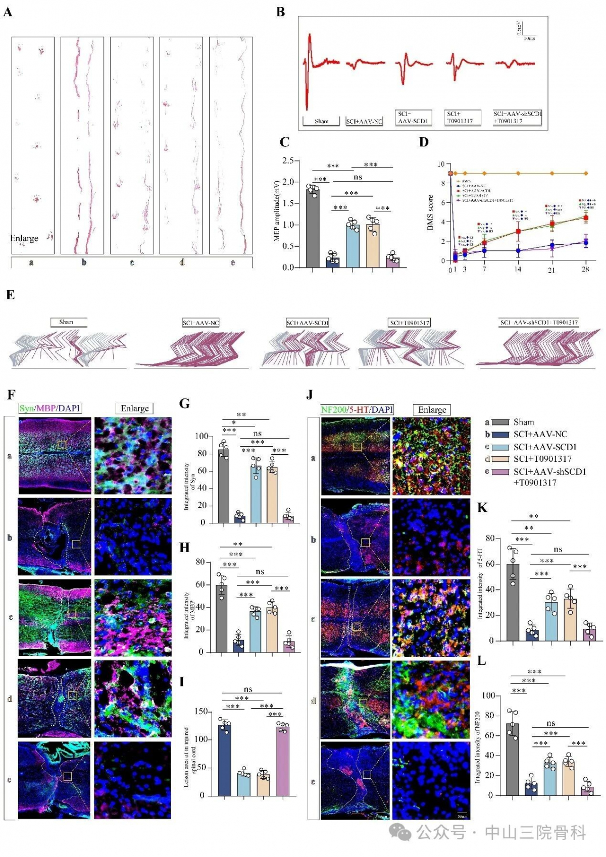
图1. LXRα激动剂和神经元特异性表达的SCD1显著促进小鼠运动恢复和组织学结构

图2.LXRα-SCD1-ERMCS-MUFA改善脊髓损伤后神经元铁死亡机制示意图
意义与展望
该研究首次将 LXRα-SCD1-ERMCS-MUFA 串联为一条完整的神经保护信号轴,阐明了脂质代谢与细胞器互作在决定神经元命运中的关键作用。目前临床上仍缺乏能在急性期有效阻断脊髓继发性损伤的神经保护药物。LXRα激动剂(如T0901317)具有穿透血脑屏障、抗炎、调节脂代谢等多重特性,本研究为其治疗急性脊髓损伤提供了坚实的理论依据。应用于急性损伤期具有较高的转化潜力。
本研究由中山大学附属第三医院骨科学科带头人戎利民教授带领的脊髓损伤修复团队完成。戎利民教授、刘斌教授、庞卯副主任医师、姚森誉博士后为共同通讯作者;江攀、罗裔乾、黄道强、何嘉乐等四位博士研究生为共同第一作者。该研究获国家自然科学基金与广州市重点研发项目资助。
研究团队简介

戎利民
二级教授、一级主任医师、博士生导师。国家重点研发计划项目首席科学家、享受国务院政府特殊津贴专家。现任中山大学附属第三医院院长、国家临床重点专科骨科学科带头人、国家神经疾病区域中心建设单位主任、中国骨科住院医师规范化培训示范基地主任、广东省微创脊柱外科工程技术研究中心主任、广东省微创脊柱外科质量控制中心主任、广东省干(体)细胞临床研究质量控制中心主任、广州市脑神经重大疾病与创新技术转化重点实验室主任、广州市重大疑难(罕见)疾病“脊髓损伤”诊疗中心主任。担任国际脊柱内镜外科学会(ISESS)执行主席,中华医学会骨科学分会常务委员、中国医师协会骨科医师分会常务委员兼总干事、中国康复医学会脊柱专委会副主任委员、中国医促会骨科学分会副主任委员、广东省医学会骨科学分会主任委员、广东省医师协会骨科医师分会名誉主任委员、广东省医学会脑机接口与脑科学专委会副主任委员。担任《Journal of Brain and Spine》主编,《中国脊柱脊髓杂志》副主编,Spine杂志中文版、《中华骨科杂志》、《中华显微外科杂志》、《中华创伤骨科杂志》、《中国骨科临床与基础研究杂志》等学术期刊常务编委与编委。长期致力于脊柱疾病的微创治疗、干细胞及智能康复(神经调控/脑机接口等)治疗脊髓损伤的临床与基础研究,带领团队为脊柱脊髓损伤患者提供了系统、精准、高效的医疗服务。近年来,主持“十三五”国家重点研发计划1项、国家自然科学基金联合重点项目及面上项目6项、广东省重点领域研发计划项目1项,广州市重点领域研发计划项目2项。牵头全国多中心干细胞治疗脊髓损伤的注册药物临床试验2项。以通讯/共同通讯作者在Lancet Neurology、Science Advances、Cell Reports等期刊发表相关论文200余篇,主编脊柱微创外科学术专著2部,授权国家发明专利及实用新型专利26项,牵头制定指南/专家共识/标准4项,带领“微创脊柱脊髓修复团队”获中山大学最高学术奖-芙兰奖,以第一完成人获广东省科技进步一等奖、华夏医学科技奖科学技术二等奖、中华医学科技奖三等奖,“蛛网膜下腔移植人脐带间充质干细胞治疗创伤性脊髓损伤”获广东省优秀医药成果。指导硕/博士研究生、博士后60余名(其中连续三年指导学生获得国自然博士研究生项目)。荣获中国优秀医院院长、广东省医学领军人才、中山大学名医、首届广州名医等称号。

刘斌
主任医师,教授,博士生导师
中山大学附属第三医院骨科主任、党支部书记
广东省微创脊柱外科工程技术研究中心副主任
中国研究型医院学会神经再生与修复专委会常务委员兼脊髓损伤细胞治疗研究学组组长
广东省医学会脊柱外科学分会副主任委员
广东省医疗行业协会骨科管理分会主任委员
广东省康复医学会骨科分会副会长
广东省医院协会脊柱外科专委会副主任委员等

江攀
中山三院脊柱外科2023级博士研究生,导师刘斌教授。主要从事脊髓损伤神经元氧化应激,脂质代谢的相关机制研究。以第一(含共一)作者身份在Research, Bioactive Materials等高水平期刊发表论文数篇,其中含中科院一区且IF>10文章2篇。