最具情怀丨中山三院援疆医疗队成功救治2岁车祸伤肝破裂患儿
近日,中山三院援疆医疗专家、岭南医院普通外科副主任医师林继宗凭借其精湛的医疗技术和丰富的临床经验,成功救治了一名年仅2岁的车祸重伤患儿。该患儿因严重交通事故导致肝脏破裂,情况一度十分危急,在林继宗和手术团队迅速而精准的手术干预与精心护理下,最终转危为安,展现了高超的医疗水平和人道主义关怀。
12月6日,中山三院援疆医疗队队员林继宗接到通知,喀什地区第一人民医院总院收治了一名2岁小男孩,上腹部遭小汽车碾压,导致肝破裂,经过第一次手术后仍持续出血,生命体征不稳定,急需再次进行剖腹探查手术,情况十分危急。林继宗立即奔赴喀什地区第一人民医院总院参与救援。
当他到达手术室时,患儿生命垂危。林继宗当机立断,迅速组织抢救小组,中山二院麻醉科何波担任主麻醉医生,阳春市中医院熊灿开作为第一助手,争分夺秒开展抢救工作。
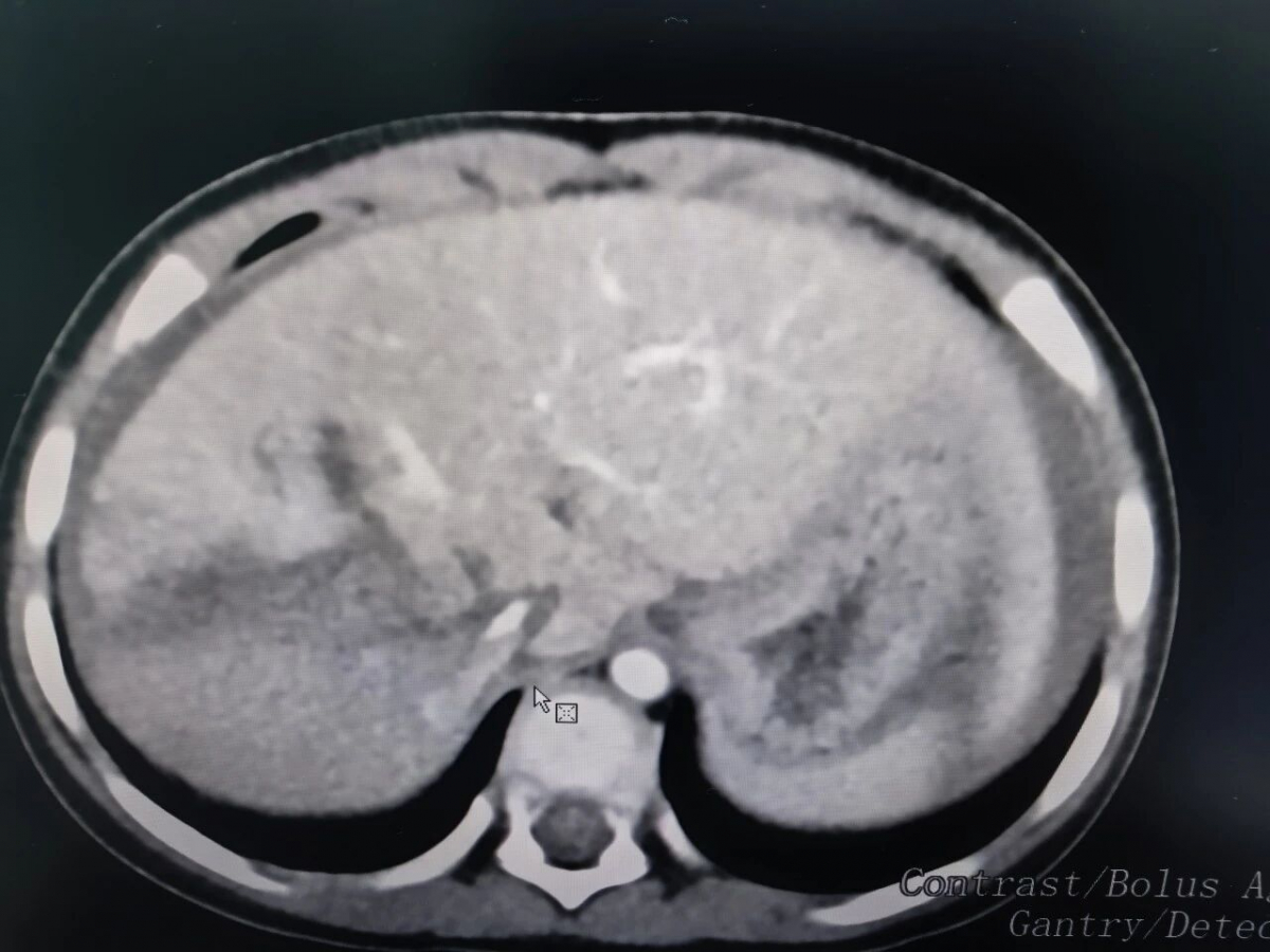
抢救小组再次复盘CT,发现患儿肝脏右后叶完全损毁,血肿范围较大,从第一肝门一直裂至第二肝门。林继宗立即向中山三院岭南医院普通外科主任刘波详实汇报情况,商量手术方案。刘波认为本着损伤控制的原则,采用最快最简单又能解决出血的手术方式,必要时直接切除右后叶。

患儿肝脏毁损状况
在何波迅速完成麻醉后,林继宗组织开展剖腹探查手术,发现患儿右肝后叶表面完全裂伤,如豆腐碎裂,再次修补可能性微乎其微。结合刘波主任提出的专业建议,林继宗决定实施右后叶切除手术。尽管此项手术面临着难度高、风险大等诸多挑战,但这是让患儿能够存活下来的唯一可行方案。
在医疗团队的紧密协同配合下,林继宗沉稳把控手术节奏,精确实施各项操作。在成功阻断肝门、有效减少入肝血流后,手术团队迅速清除肝脏断面血肿,精准结扎毁损的血管和胆管,完整切除右后叶。整个手术过程高效推进,历时不到15分钟。看着心电监护仪器上各项指标趋于正常,全体医护人员悬着的心终于得以舒缓。随后,医护人员再次对腹腔进行细致探查,在充分确保不再存在大出血风险后,关闭腹腔,顺利结束手术。

林继宗(中)在进行紧急手术中
术后,患儿从总院TICU转至喀什第一人民医院妇幼医院ICU,手术团队利用下班时间前往ICU查房并进行讨论。

林继宗在ICU查看患儿
随着患儿生命体征稳定,血色素平稳且逐步脱离呼吸机,医疗团队看到了患儿康复的曙光。目前患儿已经转出ICU回到普通病房,恢复良好。
林继宗表示:“我们抢救的不只是一个患儿的生命,更是一个家庭的未来,我们尽全力救治,希望患儿顺利恢复健康。”
此次成功救治行动,充分彰显了医者的大爱担当,也展现了中山三院援疆医疗队在关键时刻过硬的技术水平和无私的大爱精神。2011年以来,中山三院以强烈的政治意识、大局意识和责任意识积极落实援疆工作,截至目前中山三院共向喀什地区分批次派驻医疗、管理专家65名。
中山三院通过学科建设、技术引进、人才培养等多维度帮扶措施,助力喀什地区医疗服务水平显著提高,截至目前共设立17个专家工作室,近两年共柔性派出126名医疗、管理专家通过“广东名医进疆工程”赴喀开展教学指导和科研合作。2024年援疆医疗队获“全国民族团结进步模范集体”荣誉称号,《“双引擎”助力国家区域医疗中心高质量发展——中山大学援疆医疗队创新建设南疆国家区域医疗中心案例》入选自治区2024年医疗人才“组团式”援疆工作最佳案例。